2025年7月18日

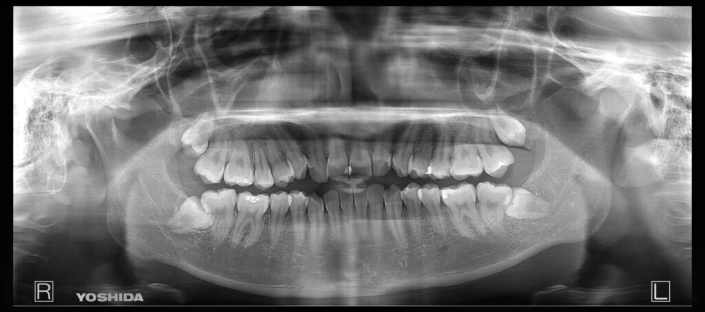
治療前
①親知らず抜歯前

②親知らず抜歯後の歯並び状況

治療後
①親知らず抜歯後

②歯並び治療(マウスピース矯正:インビザライン)完了後

症例02について
| 治療内容 | ①親知らず抜歯 ②マウスピース矯正(インビザライン) |
|---|---|
| 治療期間 | 1年間 |
| 費用 | (親知らずの抜歯)保険治療 (インビザライン)60万円(税込)※自費診療 |
| リスク・副作用 | (親知らずの抜歯) ・術後の痛み、腫れ、出血 ・傷口の治りが遅れる ・口が開きにくくなる (インビザ) ・歯や歯ぐきの痛み・違和感 ・装着時間が不足すると治療が進まない ・発音のしにくさ・口内の違和感 |