那珂川こじま歯科・小児矯正歯科医院|那珂川市の歯医者
診療科目
一般歯科・小児歯科・予防歯科・矯正歯科・口腔外科・インプラント・審美歯科・ホワイトニング| 診療時間 | 月 | 火 | 水 | 木 | 金 | 土 | 日 |
|---|---|---|---|---|---|---|---|
| 09:30 - 13:30 | ● | ● | ● | / | ● | ● | ■ |
| 15:00 - 18:00 | ● | ● | ● | / | ● | ● | / |
休診日:木曜、日曜午後、祝日午後
■…日曜は隔週診療になります。日曜・祝日も診療しています。(午前のみ)
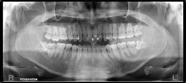
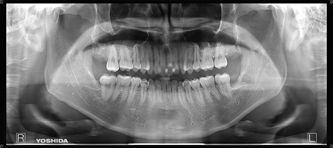
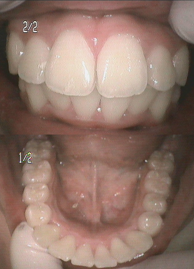
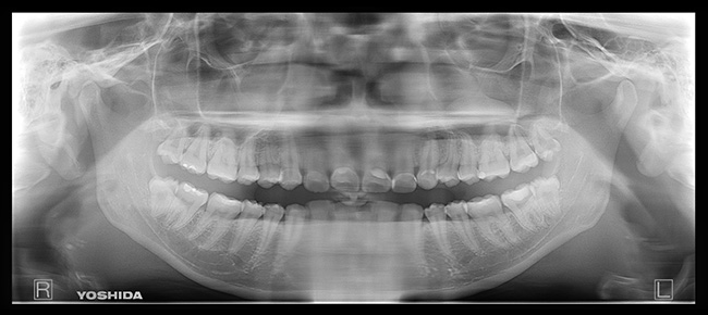
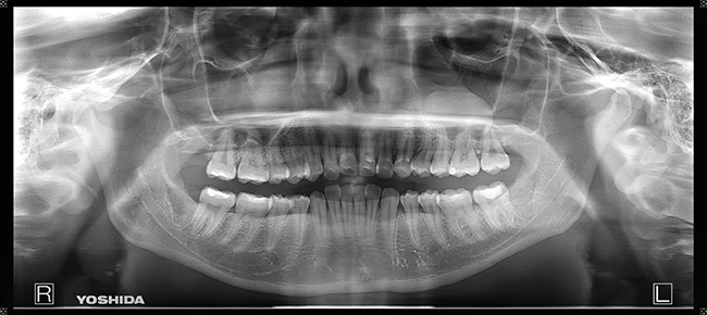
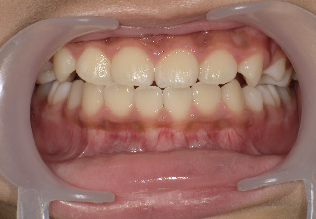
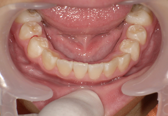
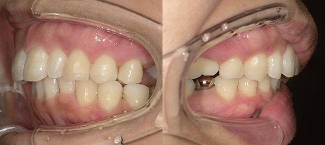
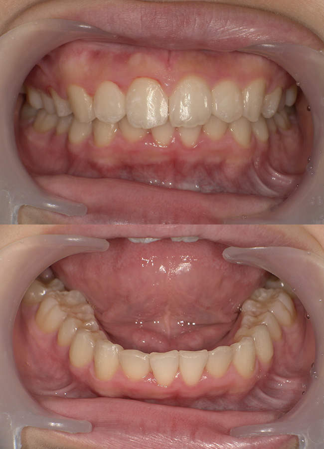
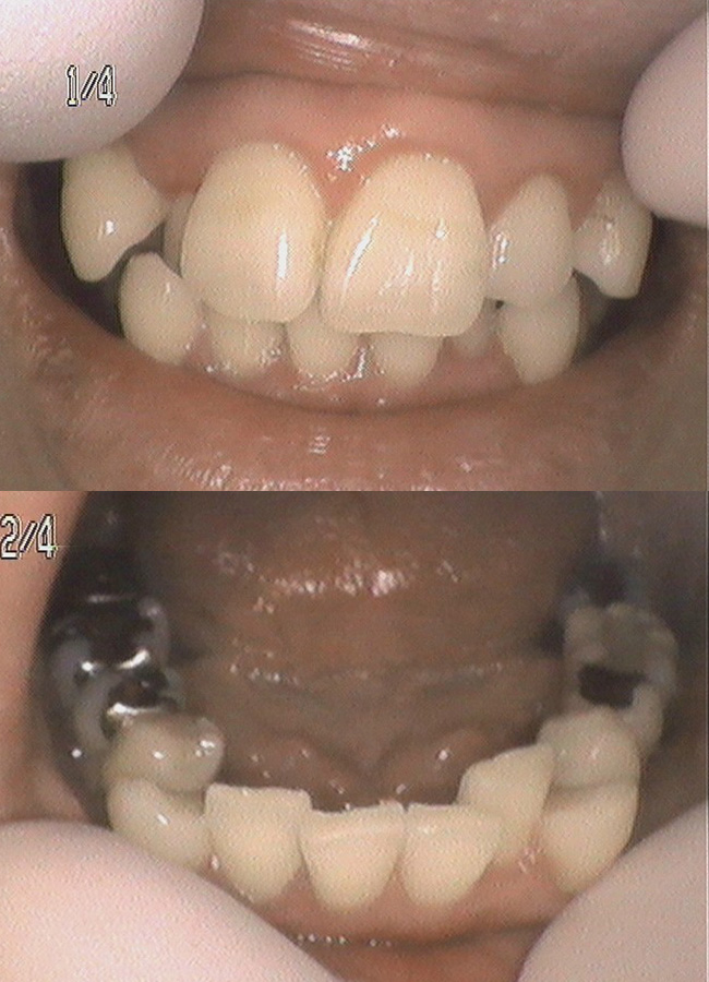
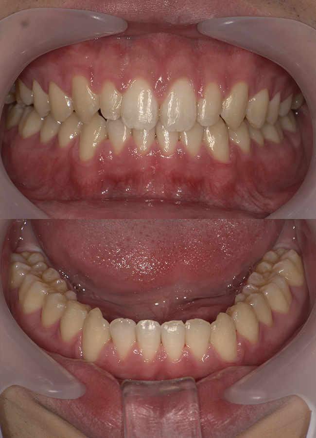
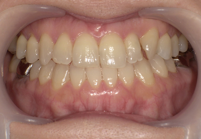
症例
当院の特徴

地域密着型の医院
院長は福岡出身で、人情溢れる医療で地元に還元したい思いで開院しました。お口のことで気になることがあれば、なんでもお気軽にご相談ください。


マウスピース矯正に力を
入れています
当院は最新鋭の口腔内スキャナーを用いて、ご自身のかみ合わせを直接ご覧いただけます。マウスピース矯正にも対応しております。カウンセリングをした上で患者様のニーズに合わせた治療をご提案します。

治療の見える化を徹底しています
歯科用CTや口腔内スキャナーなど精密機器を導入しており、画像診断等は患者様にユニット横の画面でお見せし、「治療の見える化」を徹底しています。


歯の無料相談はもちろん、セカンドオピニオンにも
柔軟に対応します
当院では患者様の治療に対する疑問や不満をなくすよう、患者様と医師とのコミュニケーションを大切にしています。時間をかけてじっくりと話し合って初めて、治療が始まります。治療に対する疑問・不安を解消するためにもお気軽にご相談ください。
お悩みから探す
当院が力を入れている診療

マウスピース矯正
(インビザライン)
マウスピース矯正(インビザライン)は、透明で薄いオーダーメイドの装置を用い、目立たず快適に歯並びを整える治療です。通院も少なく、取り外し自在で金属アレルギーの心配もありません。3Dスキャナー(アイテロ)による精密な型取りで歯の動きを可視化し、治療計画が明快なのも特長です。

小児矯正
小児矯正では、プレオルソと拡大床を併用し、自然で健康的な歯並びを目指します。プレオルソは柔らかいマウスピースで口周りの筋機能を訓練し、拡大床はネジを回して顎を拡げ、永久歯がきれいに並ぶスペースを確保します。成長期の負担を抑えつつ、将来の大がかりな矯正を予防できる効果的なアプローチです。

親知らずの抜歯
当院では熟練の口腔外科医が歯科用CTで神経や骨の位置を精密に確認し、安全・確実な親知らずの抜歯を実施。麻酔で痛みを抑え、術後の不安にも寄り添う丁寧な治療を心がけています。

審美治療
当院の審美治療では、セラミッククラウン・ラミネートベニアで自然な白さと透明感を追求し、さらにホワイトニングで輝く笑顔を実現します。機能性と審美性を両立したプランで、自信に満ちた口元をサポートします。
ご挨拶
院長の小島烈也と申します。
生まれ育った地元福岡で、人情あふれ、みなさまがまた来院したいと思っていただける歯科医院をと思い、那珂川市で開業を決意しました。
お子様からお年寄りの方々まで幅広く、気配り配慮を怠らず、最新の治療をご提供してまいります。
福岡市で多数の歯科医院にて勤務し、副院長・院長を経験して、患者様の為に、患者様第一の医療を実践してきました。
現在の医療は医院側からはあくまで治療方針のいくつかの提示であり、患者様主体の医療に変化しています。
当院では患者様の症状を把握し、画像診断全てをモニターに提示し、患者様の希望を最優先します。
治療の結果の良い悪いは医院側が決めることではなく、患者様の満足度がすべてであると考えております。
無痛治療や最新治療をご提供するのは、当然のことであり、その先の患者様の満足度が一番のゴールであると考えております。
私の歯科医師としてのモットーは、患者様の痛みがわかるドクターでありたいことです。
地元福岡でみなさまに満足していただくようスタッフ一同、日々精進してまいりますので、みなさまのご来院を心よりお待ちしております。
医療法人Ret`s
那珂川こじま歯科・小児矯正歯科医院 院長
小島 烈也









































