【症例17】50代男性|うまく噛めない、下唇を噛んでしまう|那珂川こじま歯科・小児矯正歯科医院|那珂川市の歯医者

〒811-1251福岡県那珂川市松木2丁目87

092-951-0702

WEB予約(初診の方)
待合室

【症例17】50代男性|うまく噛めない、下唇を噛んでしまう

【症例17】50代男性|うまく噛めない、下唇を噛んでしまう|那珂川こじま歯科・小児矯正歯科医院|那珂川市の歯医者

2025年9月24日

【症例17】50代男性|うまく噛めない、下唇を噛んでしまう

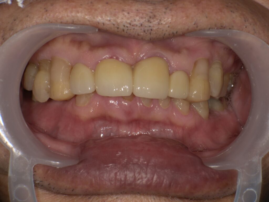
治療前

治療後

症例17について

治療内容セラミック治療(ジルコニア)
治療期間1ヶ月
費用50万円(税込)※自費診療
リスク・副作用・割れることがある
・歯を削る必要がある
・しみることがある

TOP